







































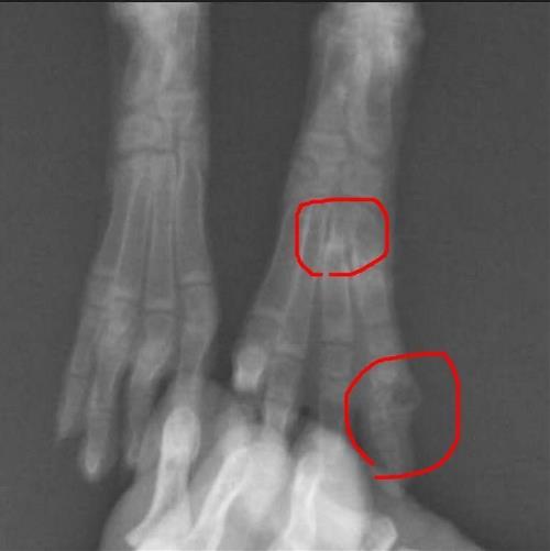
在合作金庫後面救到的小公兔,多處骨折,取名:「合庫」 希望你帶財,為自己多招些醫藥費和生活費,未來的認養人也會財源滾滾 真的非常感謝通報人與熱心兔友短期安置照顧,幫忙照顧到兔兔脫離危險期,期間密集的回報兔兔近況,穩定後再交由協會接手 2018/5/24救援,2018/6/23通報人親送協會安置,還附上一本兔兔的日記,真的非常用心 觀察後雙手明顯,跟通報人討論後,得知該兔剛救援時手還好,但最近前手打開疑似開張肢 故2018/6/24協會安排健檢+拍X光 恥骨斷裂,關節部分也有斷裂 前二隻手會向外需要再觀察,先改善環境做止滑及限制空間,之後才能確定是不是開張肢,等過陣子營養補充後再看狀況 評估後,2018/6/26兔兔由中途帶回家一對一照顧,暫不適合住在二館療養區
健康重點整理: 觀察是否開張肢 恥骨、關節斷裂 左腳趾變形有膿包 左後第3.4趾骨折 腸胃脹氣、球蟲、皮膚毛囊發炎 通報人安置影片(2018年5月底拍攝) https://www.facebook.com/rabbitsos/videos/10160761691375624/ 以下是通報人詳述救援經過: 2018/5/24傍晚6點,我在頭份市區康世美藥妝旁巷子(義民街)路過 一長滿雜草的花台,發現一小白影,是隻小幼兔在草叢裡跳& 吃雜草,對於經過的路人不會害怕躲起來。 剛好隔壁是里長家但無人在,於是我先詢問銀行保全(兔被丟棄處是 屬銀行)而得知他早上就看見兔子被丟棄在那裏。 保全說這附近沒有人養兔。因已入夜,兔會有生命危險, 經保全及銀行人員陳先生同意下先讓我救回家。 我先放置在新紙箱裡、給水及洗淨的高麗菜葉, 稍晚到處向鄰居尋借籠子都無,接後去買飼料但小兔不吃, 給高麗菜。兔寶精神不錯,體重很輕,身長約我手掌多一點。 左後腳趾上有脫毛露出紅紅外傷,目測偏外開。半夜借到一貓用外出 籠給兔子暫住。(隔兩天將其與紙箱併成一長型空間給兔) 5/25凌晨透過朋友邱先生在FB地方社團發文協尋並問有無兔友 可借籠子。中午尋得一盧小姐願助,聯繫後會帶些兔用品和糧草。 由於我無飼養任何動物經驗,上網查詢本地、 苗栗並無兔子專門醫院, 下午我出門正打算先帶兔去貓狗動物醫院看看,剛好與兔友聯繫上, 便向其討論兔仔的傷,詢求有養兔經驗的她能否協助找兔醫。 最快周日晚接兔,預計週一帶小兔去就醫。 給小幼兔取名[小草],持續吃草提摩西草、菜、水, 但兔友提供的幾種飼料也是不吃。精神好, 會好奇走跳探索與站立看我們。很親人。喜歡摸摸 觀察兔受傷的腳行動是還OK 的,應無癱瘓,但左腳有些往外開。 5/26兔小草今天有吃有喝有嗯嗯,而且終於肯吃飼料,太好了! 傍晚去兔發現地點找里長(兔遺棄處剛好隔壁是里長家, 當天里長不在),里長說附近並無人養兔,應是被棄養的, 也或許有可能與前一天本地最大廟會活動夜市裡的鼠兔攤有關?或飼 主丟棄? 兔小草依然精神、好奇張望。下午午睡前還中槍倒兩次,睡很熟。 5/27今天下午和兔友盧小姐約定帶兔小草( 明天去新竹給她熟識醫生看病及檢查), 兔友整理出一大空間給兔兔住,適應好,跳了兔子舞。 2018/6/23送來協會後給的備忘錄: 1.便盆加草盆架、水瓶都是?兔新買的, 除了這隻小兔沒有別的動物使用過,全部一併捐給協會運用。 2.今天看到協會給小兔的空間很大,而有件事: 小兔不知是癖好還是骨頭因素,他會右歪靠一個角落尿尿,比如: 他關籠一定會尿在便盆 但偏向他屁股右邊尿,故有時會從便盆邊滲漏一點尿出來。 開籠放風他就不回籠子裡的便盆尿,則會在空間裡亂尿, 但一定尿在邊線或三角角落處(非要找有個牆可以靠著尿) 協會再觀察看是他怪癖、還是跟屁股骨頭歪有關( 醫生曾說他左後肢靠屁股的骨頭有一點長歪)
以下是非常詳細的安置回報: 2018/6/22回報 兔子這週三起拿掉頭套、 不需擦藥了,仍需吃藥及按摩.伸展左後肢。關籠可小小放風。 6/20最後回診 體重0.83 耳有自抓傷,醫生幫清耳屎 因骨折四肢施力不均,後近尾端和前肢骨頭已長歪,按摩矯正看看。後腳已有萎縮現象?? 太冷會打噴嚏 2018/6/21回報 昨日兔兔回診,確認除了之前球蟲已過危險期,現在傷口復原不錯, 頭套可拆除不需戴,但仍續吃藥與復健按摩。故, 我想兔兔的狀況較為穩定了,應可移動送交協會。 6/20《回診就醫》體重到0.83kg。 兔耳朵有點耳屎沒清乾淨,醫生幫清耳屎。1.因骨折, 導致施力不均,腳(屁股那邊的骨頭)跟手的部份有長歪, 每天想到的時候就幫他身體喬正一下。2.因骨折, 所後腳不太肯用力。導致有點肌肉萎縮,一點點而已, 每天按摩10-15min做復健。3.抵抗力還沒恢復, 鼻子或是呼吸氣管比較敏感,常溫幾乎沒看到打噴嚏, 但冷氣房開太涼就會打幾個噴嚏,需注意溫度 6/14 骨折處復原良好持續進步中,兔兔可稍微出來放風了, 但放風就亂撒尿,關籠時便盆使用100% 6/13 《回診》因前面球蟲感染但抵抗力還弱,所以毛囊未好。 左後腳膿包傷口好七成,但即使頭套愈換愈大兔子仍舔得到, 繼續要吃藥。後腳有傷&骨折,所以幾乎用前肢,但又撐不太起來, 有滿大的機會變開肢,目前處理是每天加做復健、按摩, 盡人事看天命。體重增至0.66kg 6/12 遇到某爭取連任的議員來拜票,逮到機會就陳情, 要求她對於販賣或展覽小動物的行為做處理或改變( 希望廟會夜市不再有這樣拿動物當獎品的攤位行為) 我對官不抱任何期待,但也不放過XD 以後要來拜票的?進來一個 我就講一次。哈哈哈 每天要餵藥、關籠、戴頭套 6/7 體重增至0.51kg。吃藥後已無打噴嚏。昨天(6/6) 看醫生時有放他出來跑,發現他的腳不是很有力,前肢著地也較開, 跑跳不是很穩 6/6《就醫+回診》因球蟲感染關係,小兔抵抗力弱而感冒了。 球蟲感染結束沒再看到,渡過危險期了!仍須戴頭套、 續吃皮膚及腳傷藥兩週。體重增至0.51kg 背上有個小肉球,顯微鏡觀察沒發現什麼,應是毛囊發炎的產物 吃藥隔天打噴嚏狀況幾乎已無。 6/5出現打噴嚏狀況 6/3傷口開始長毛了 6/1 《回診》左腳傷口好多了,已結痂,兔子會舔傷口,仍須戴頭套。 兩骨折也在復原中,持續關籠。球蟲感染剩一些,下週四回診。 耳後毛極少,以顯微鏡檢查沒問題。右前肢最後一指仍稍腫。 毛囊發炎狀況好些了。體重從0.4增至0.46kg。 醫生對小兔的行動自如也感到驚奇。每天要燙籠、擦拭傷口。 5/29大不成形軟便。脹脹的肚子有消了。會乖乖吃藥。精神好。 5/28初次就醫結果:年紀僅一個半月,小男生。 左後腳除了外傷,還有兩骨折,骨折發生已一點時間,有在復合。 肩胛有一結痂。球蟲感染,肚子滿滿,醫生說現在是危險期! 體重過輕,營養不良。 治療:每天食鹽水擦拭外傷。每日投藥/球蟲及消炎。 兩到三週限制活動範圍並隔離。